Ame com o olhar e fale por sorrisos! O sorriso ilumina e transforma vidas.
Clínica Geral - Odontologia Estética Avançada
Dra. Mariana Lovison
CROSP 83736
Sou a Dra. Mariana Lovison Mironiuc, formada em Odontologia pela Universidade de São Paulo- USP, Sócia-Diretora da Lovison Odontologia. Sou apaixonada em reconstruir e transformar sorrisos e atuo nas áreas de Clínica Geral, Prótese Dentária, Reabilitação Oral e Odontologia Estética há mais de 17 anos. Com diversos cursos nessas áreas e vasta experiência, consigo reunir um conjunto de técnicas para trabalhar a estética, funcionalidade e harmonia do sorriso, dentre elas as lentes de contato dental, facetas em cerâmica e em resina que já fazem parte do meu trabalho há mais de 15 anos, com centenas de atendimentos realizados.
I lead a group of experienced and highly educated coaches from a range of professional fields, specialized in personal growth and empowerment.
Atenção:
Não atendemos por convênios!
Veja o que podemos te oferecer:
Clínica geral e atendemos outros tratamentos abaixo:
Tenha o sorriso que você deseja:
A Lovison Odontologia oferece a excelência em seus tratamentos, aliando profissionais altamente qualificados e tecnologia. Nosso time é formado por profissionais que amam o que fazem, sempre atualizados com o que há de mais avançado no mundo para poder aumentar a auto estima, a saúde, estética oral e facial dos seus pacientes. Nossa paixão é cuidar das pessoas e cada sorriso para nós é único. Sabemos que o sorriso transforma vidas.
Oferecemos Implantes dentários
Volte a ter todas as suas funções mastigatórias. Cirurgia de implante é segura e rápida. Para você que perdeu seus dentes, tem dificuldade em mastigar, sorrir ou usa uma prótese que solta e te machuca, passe a ter conforto e segurança com os implantes dentários. Consulte nosso especialista.
Veja alguns benefícios dos tratamentos:
Um belo sorriso traz jovialidade, saúde e bem-estar, elevando a autoestima.
Sorrir e mastigar com eficiência traz segurança e conforto principalmente em festas, reuniões, entrevistas.
Um sorriso bonito e funcional te permite sorrir, mastigar e falar de verdade, sem dor, vergonha ou medo.
Ajuda a controlar doenças como diabetes melitus, problemas respiratórios, cardiovasculares entre outras.
Com um sorriso bonito você passa a se expressar sem vergonha e corre atrás dos seus sonhos sem se importar com sua aparência.
Nossa equipe experiente está preparada para te oferecer o que há de melhor e mais duradouro na Odontologia.
Aqui na Lovison Odontologia você terá:
Problemas que podemos te ajudar!
Sabemos que quando a idade avança ou acidentes ocorrem, é preciso repor os dentes perdidos com urgência!
O ato de ranger ou apertar os dentes pode desgastá-los ou fraturá-los. Reparos são necessários!
Não se sente à vontade para sorrir nas fotos? Podemos te ajudar com isso!
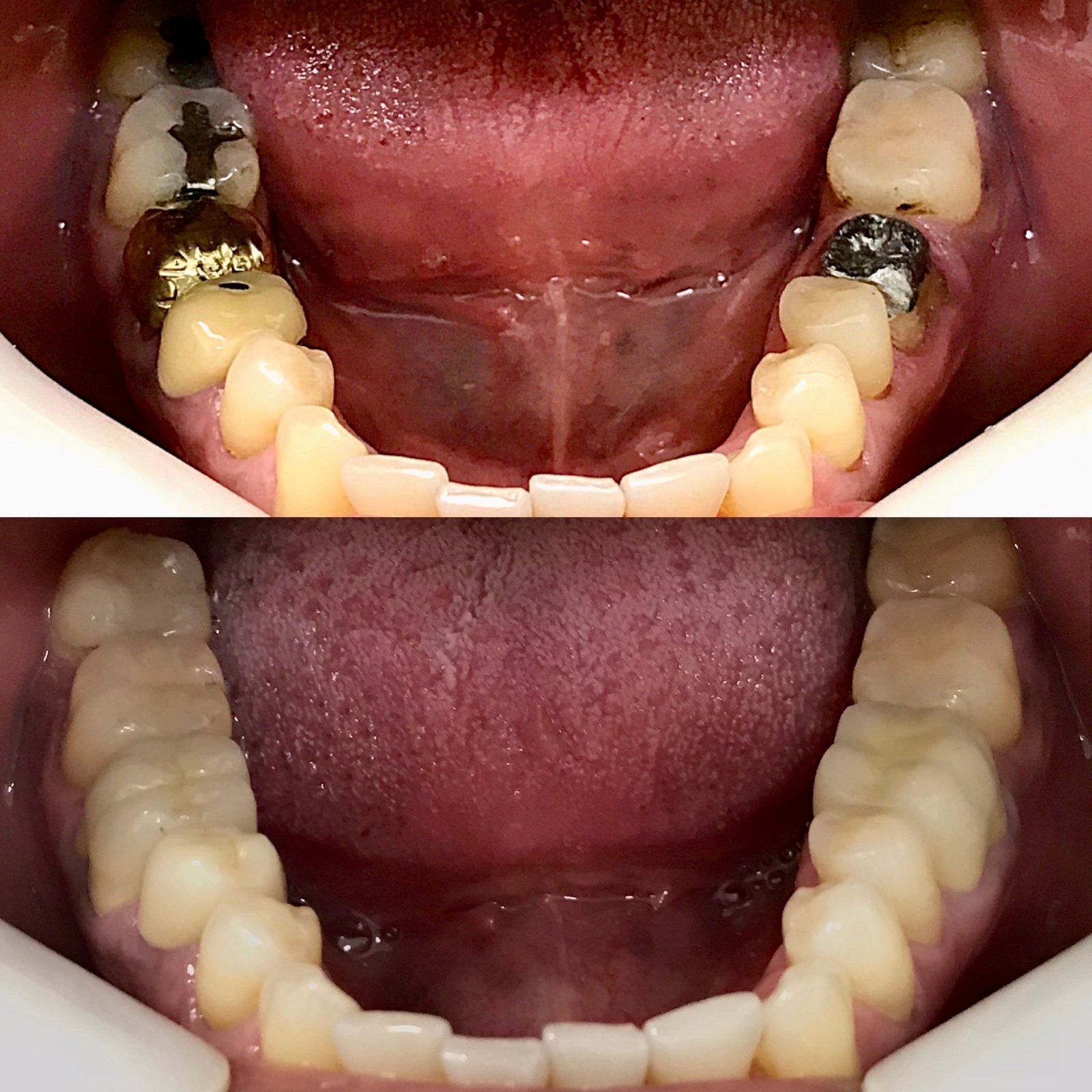
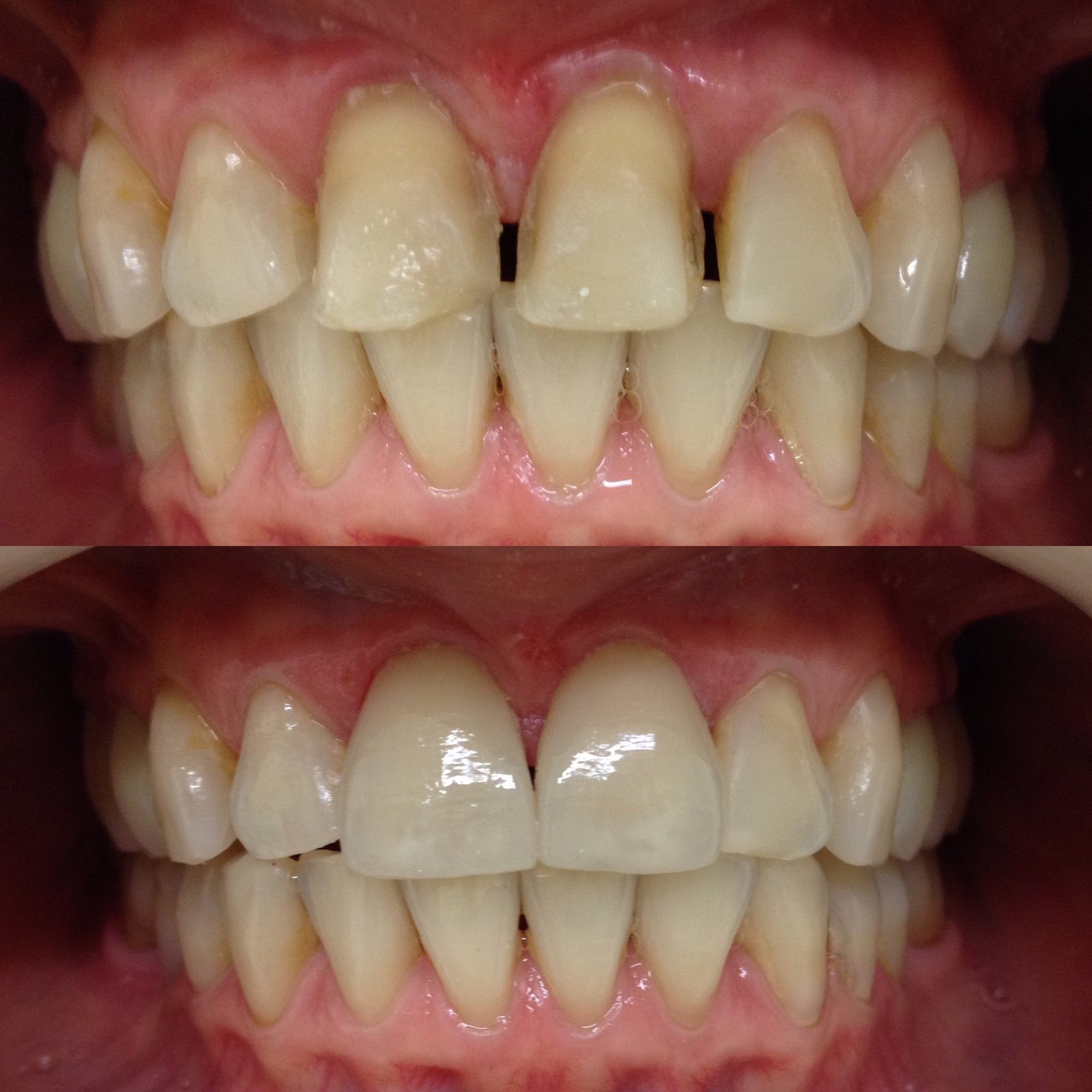
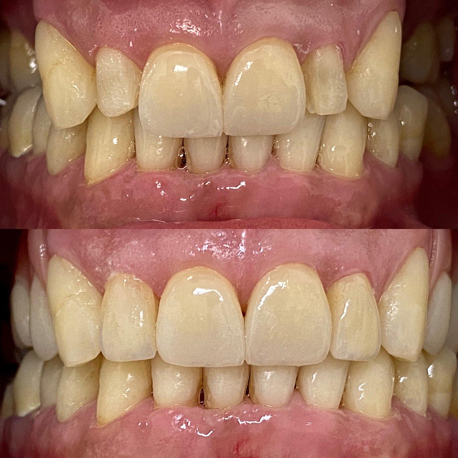
Alguns casos clínicos:




Veja nossos pacientes satisfeitos:





Onde atendemos?
R. Dr. Luiz Migliano, 1110- Cj 202 Jardim Vazani – São Paulo – SP / Cep 05711-900.
Precisa de uma consulta?
Clique abaixo, agende agora sua consulta com a Dra. Mariana Lovison e tenha um sorriso saudável!
| Cookie | Duração | Descrição |
|---|---|---|
| cookielawinfo-checkbox-analytics | 11 months | This cookie is set by GDPR Cookie Consent plugin. The cookie is used to store the user consent for the cookies in the category "Analytics". |
| cookielawinfo-checkbox-functional | 11 months | The cookie is set by GDPR cookie consent to record the user consent for the cookies in the category "Functional". |
| cookielawinfo-checkbox-necessary | 11 months | This cookie is set by GDPR Cookie Consent plugin. The cookies is used to store the user consent for the cookies in the category "Necessary". |
| cookielawinfo-checkbox-others | 11 months | This cookie is set by GDPR Cookie Consent plugin. The cookie is used to store the user consent for the cookies in the category "Other. |
| cookielawinfo-checkbox-performance | 11 months | This cookie is set by GDPR Cookie Consent plugin. The cookie is used to store the user consent for the cookies in the category "Performance". |
| viewed_cookie_policy | 11 months | The cookie is set by the GDPR Cookie Consent plugin and is used to store whether or not user has consented to the use of cookies. It does not store any personal data. |